Dra. Alma Angélica

García

Bocanegra


Estomatóloga y Maestra en Endodoncia

Comprometida ha brindar atención dental y endodóntica de calidad, actualizada con las últimas investigaciones, equipos de vanguardia y tecnologías en el campo.


Dedicada a la práctica endodóntica, especialista en la atención de los problemas complejos que afectan principalmente a la pulpa dental.

Licenciada en Estomatología| BUAP

Céd. Prof. 11351504


Maestría en Endodoncia Posgrado BUAP

Céd. Maestría. 13670289


Puebla Pue.

Mexico Flag Mexican

¿ Pasaste una mala noche por dolor dental?


No esperes más tiempo, comunícate

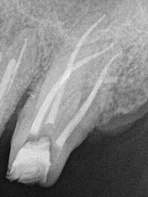
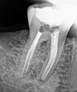
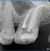
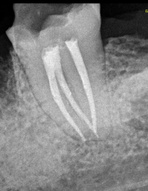
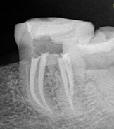
Es un procedimiento que

tiene como finalidad evitar la perdida del diente.



Para ello, se extrae la pulpa dental, se desinfecta y posteriormente se rellena y sella con material inerte y biocompatible.


¿Qué es una endodoncia?

Contáctame, con gusto atenderé tu solicitud.

Si existe alguna indicación o duda estaré en la mayor disposición para atenderla.

Referir paciente

Map Location Icon

Puebla Puebla.

119 Pte. 116 Col. Granjas Puebla

Dental Hygiene
Testimoni Icon

Testimonios

"Tenía mucho miedo ir al dentista, pero el dolor de mi muela me hizo ir, estoy muy satisfecha de la atención, la Dra. genera mucha confianza, ¡No me dolió nada!"

Five Stars Icon

-Vicenta Mendoza

-Delia Carrillo

"Muy satisfecha con el servicio brindado en la clínica, la doctora me explico muy bien. ¡Durante el procedimiento de endodoncia hasta me quede dormida!."

Five Stars Icon

Contácto

@endodoncista_almaangelica

almaangelicgb@gmail.com



Telefóno de recepción

22 29 50 77 32 / 22 23814651